Gradonačelnik Bišvac sa saradnicima kod narodnog poslanika Velike Narodne skupštine Republike Turske
Narodni poslanik Velike Narodne skupštine Republike Turske i predsednik parlamentarne grupe turskosrpskog prijateljstva...
Novi Pazar i Bursa i zvanično postali bratski gradovi
U Bursi je upravo potpisan ptotokol o bratimljenu tog grada u Republici Turskoj...
Biševac sa delegacijom iz Sandžaka kod počasnog konzula Republike Srbije u Bursi Zarifa Alpa
Članove delegacije iz Sandžaka koja boravi u Bursi, gde će danas biti potpisan...
Novopazarac u trci za Evroviziju
Novopazarski pijanista Adem Mehmedović biće jedan od 32 takmičara na festivalu na kojem...
Fubaleri Novog Pazara odradili prve treninge u Antaliji! Spremni za prvu pripremnu utakmicu
Fudbaleri Novog Pazara odradili su danas dva treninga na terenima hotela Titanic u...
Sutra potpisivanje protokola o bratmljenju Novog Pazara i Burse
Na inicijativu koja je potekla prošle godine prilikom posete delegacije Burse Novom Pazaru,...
Direktor Muzeja “Ras” Elmir Habibović najavljuje ambiciozne planove u tekućoj godini
Muzej ”Ras” u Novom Pazaru je prošle godine obeležio sedam decenija rada i...
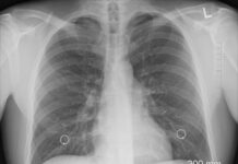
Sve o tuberkulozi koja se pojavila u Novom Pazaru među decom: Odakle bolest i...
U Novom Pazaru tuberkuloza je otkrivena kod devetoro dece, a u toku su...
Čistiji vazduh u centru Novog Pazara
Iako je zagađenost u vazduhu i dalje prisutna, uslovi života stanara u blizini...
NOVI PAZAR: Tuberkuloza otkrivena još kod dva učenika i jednog deteta predškolskog uzrasta
Specijalista epidemiologije Safet Ganić rekao je danas da je kod još dva učenika...


















